
診療案内SERVICE
当院はご遠方からお越しいただく患者さまも多いため、次のような工夫をしております。
●通院回数をなるべく少なくして、できる限り早く咀嚼機能が回復するよう努めます(オオタニメソッド)。
●治療による痛みや腫れをできる限り抑えることを心がけています(オオタニメソッド)。
●うとうとと眠っている間に手術を終えられる、静脈内鎮静法での手術も可能です。手術に不安を感じる方はご相談ください。
インプラント治療の流れ

始めに口腔内を詳細に検査し、個々の患者さまに適した治療計画を立案し、ご説明いたします。同意いただいたあと、治療計画にもとづいて外科手術を実施し、失った歯の下の顎の骨にインプラント(人工歯根)を埋め込みます。
インプラントを埋入したあとは、骨としっかり結合するまで数ヶ月の期間を設けます。治癒が確認された段階で、インプラントにアバットメント(義歯との接続部分)を装着します。さらに、歯肉の治癒を待ってから、お口の形状やかみ合わせに合わせたオーダーメイドの義歯をアバットメントに取り付けて、治療は完了します。
以上がインプラント治療の一般的な流れです。当院ではさらに、インプラント埋入前に顎の骨を増やす骨造成や、インプラントの埋入後およそ1週間で人工歯の装着を行う即時荷重インプラントなど、患者さまの症例に応じた高難易度の治療法にも対応しています。
インプラント治療(包括的治療)オオタニ・タカギメソッド
治療の流れ
治療の一番最初に料採得というステップがあります。
口腔内写真はもちろん、骨格・スマイルライン等を判断するために顔貌口元の状態を写真にて記録いたします。
このステップは治療計画を立案する上でとても重要です。
骨格・顔貌・顎関節を診断することで最終的な目標・セットアップ模型を作成して最終ゴールを設定します。
最終的な治療目標を設定するためにとても重要なステップがあります。
それは、フェイスボーとCRバイトを取得してパナデント咬合器に装着することです。
中心位でマウントされた模型をいろいろな方向から検討して最終的なゴールを設定いたします。
少数歯欠損

- 歯を1~2本失ってしまった
- 先天的に歯が少ない
- 部分入れ歯が合わない
歯は互いに支え合っているため、1本でも失われると、周囲の歯が傾いたり伸びたりして、かみ合わせがずれてしまいます。
そのため、入れ歯、ブリッジ、インプラントのいずれかで補う必要がありますが、入れ歯は違和感があったり、取り外しが面倒なため、使用をやめてしまう方も少なくありません。また、ブリッジには両隣の健康な歯を大きく削るデメリットがあります。
一方で、インプラントはしっかりと噛むことができ、周囲の歯を削る必要もありません。
以上の理由から、当院では先天性欠損を含め1~2本の歯を失った方にはインプラント治療を推奨しています。
当院で実際に行ったインプラント治療の症例については、ブログをご覧ください。
※自由診療です。
リスク:適切なメンテナンスを行わないと、インプラント周囲炎を発症するリスクがあります。
前歯部少数歯欠損症例
2014年、前歯1本欠損でインプラント治療を希望されて来院されました。
サージカルガイドを作成しインプラント埋入を行っていきました。
※ 詳細のステップをご覧になりたい方はこちらをご覧ください。
骨造成 結合組織移植等を行いながら最終印象を行っていきました。
最終補綴装着後の口腔内写真です。自然な仕上がりにご満足頂いております。
多数歯欠損

- 歯を3本以上失ってしまった
- 歯がほとんど残っていない
- ブリッジを支えていた歯が悪くなった
欠損歯が複数本になると、ブリッジでは対応が難しくなり、治療の選択肢は入れ歯かインプラントに限られます。
入れ歯は大きくなるほど違和感が増し、クラスプ(金属バネ)をかける歯への負担も大きくなります。さらに、噛む力が低下し咀嚼が難しくなるだけでなく、審美性や機能面でも問題が生じやすくなります。
一方、インプラントは人工歯根によって自立できるため、多数の歯を補った場合でもしっかりと噛むことができ、周囲の歯に負担もかけません。
当院で実施したインプラント治療の症例については、ブログをご覧ください。
※自由診療です。
※リスク:適切なメンテナンスを行わないと、インプラント周囲炎を発症する可能性があります。
前歯部多数歯欠損症例
2010年、前歯5本欠損でインプラント治療を希望されて来院されました。
インプラント埋入後、プロビジョナルレストレーションにて軟組織のスキャロッピングを行います。
咬合状態に問題無いことを確認後、CADCAMのメタルフレームにセラミックを築成して治療終了。
最終補綴装着時の口腔内写真です。スクリュー固定でアクセスホールが理想的な位置に存在します。
フルマウスリコンストラクション

- ほとんど歯が残っていない
- 顔の歪みが気になる
- お口全体をしっかり治したい
フルマウスリコンストラクションは、顎関節や顔貌を確認しながら、口腔内全体の機能や審美性を回復させるための歯科治療です。この治療により、口腔機能が著しく損なわれた患者さまも自然な噛み心地や見た目の回復を期待できます。
当院では、フェイススキャンや口腔内スキャナーを用いて、かみ合わせや顎関節の状態を詳細に確認し、歯だけでなく土台となる顎から適切な状態へと導く治療をいたします。
※自由診療です。
リスク:一般的な歯科治療に比べて治療に時間を要するため、数ヶ月から1年ほどかかることがあります。
フルマウスリコンストラクション
症例
上下固定式のインプラント治療を希望されて来院されました。上顎には骨量が少なくサイナスリフトが必要です。
顎関節等の噛み合わせ治療を併用して上下固定式のインプラント治療を終了。
上顎には第3世代ジルコニアの上部構造、下顎には第2世代セラミックの上部構造を装着。
タカギインデックスより計算された咬合平面を設定しているため、噛み合わせはとても安定しております。
治療終了より約11年経過しましたが現在も問題なく使用されています。
サイナスリフトした骨も全てのインプラント体も安定しております。
包括的治療

- お口全体をしっかり治したい
- 専門的な治療を受けたい
- お口の悩みを根本から解決したい
包括的治療とは、異なる専門分野の歯科医師が連携し、口腔内全体の機能性と美しさを向上させる治療です。
この治療では、インプラントだけでなく、歯周病治療、根管治療、矯正治療などを組み合わせて行います。
当院では、包括的治療をご提供するために、必要に応じて矯正歯科や根管治療の専門医療機関をご紹介し、密接に連携して治療を進めています。
※自由診療です。
リスク:治療が長期化する場合がありますが、途中で治療をやめてしまうと、めざしていた治療結果を得られなくなります。
包括的治療 症例
2011年、噛めないという主訴で65歳の男性が来院されました。
全顎的な治療を希望されていましたので、口腔内はもちろん骨格・顔貌・顎関節の診断を行い治療目標を設定致しました。
上顎天然歯に関しては矯正治療、下顎にはフルマウスのインプラント治療を計画致しました。
顎関節の安定を確認した後、矯正治療とインプラント治療を並行して行いました。
約3年の治療期間を経て、計画通りの満足のいく結果を獲得することができました。
2014年、治療終了時の口腔内の状態です。
インプラント上部構造はCADCAMによって作成されたジルコニアの上部構造です。
2024年、治療終了後約10年が経過いたしました。
顎関節を考慮した包括的な治療を行うことで咬合状態(噛み合わせ)は現在もとても安定した状態です。
かみ合わせ不良(ズレ)

- 前歯が大きく突出している
- 上下の歯がかみ合わない
- 受け口が気になる
上下の歯がかみ合わない不正咬合には、上顎前突(出っ歯)、下顎前突(受け口)、開咬、叢生など、いくつかのタイプがあります。矯正治療や被せ物によって改善できることもありますが、かみ合わせのズレが大きい場合や上下の骨格に不調和がある場合には、インプラントや骨切りを含む外科的な処置が推奨されることもあります。
当院では、かみ合わせを総合的に再構築する治療にも力を入れていますので、かみ合わせに関するお悩みがある方は、ぜひご相談ください。
※自由診療です。
※リスク:通常の歯科治療に比べて治療が長期化しやすく、数ヶ月から1年ほどかかる場合があります。
噛み合わせのズレ 症例

2006年
初診時

下の前歯がぐらぐらでした

2007年
歯周病
初期治療後
2006年、前歯がぐらぐらで近医にて抜歯と診断されインプラント治療を希望して来院されました。
徹底的な歯周病の治療を行なった後に、噛み合わせの先生に『噛み合わせがずれている』とご指摘を受け、噛み合わせの治療をお願いいたしました。

2007年
顎位の治療(かみあわせ治療)

2008年
顎位の治療後再診断

2009年
矯正治療終了前

2010年
矯正治療終了

2014年

2019年
2019年、初診より13年経過。
当時インプラント治療を希望されて来院されましたが、顎位の治療(噛み合わせ治療)と矯正治療を行うことでぐらぐらだった下顎前歯は今も問題なく使用されています。
2019年
初診より13年経過
当時大学生だった彼女も今は3児の母となり、遠方に引っ越されました。
コロナの影響もあり来院は途絶えていますが、電話にて口腔内に問題のないことを確認しております。
この治療をきっかけに、噛み合わせ(顎位)の重要性を学び、それ以来、全顎的に治療する場合は必ず、噛み合わせ(顎位・顎関節)を診ながら治療しています。
その結果、長期に亘り安定した臨床結果が得られています。
顎関節症

- 顎からガクガクと音がする
- 口を大きく開けづらい
- 口を開くと顎やこめかみが痛い
お口を開ける際の痛みが何日も続く、あるいはお口を開けづらいといった症状が見られる場合、顎関節症の可能性があります。顎関節症の原因はいくつかありますが、かみ合わせが少なからず影響していることが知られています。
当院では、口腔全体を詳細に検査し、顎関節やかみ合わせを適切な状態に整えるための治療を行っています。
顎関節症 症例
57歳女性。
上顎左側の補綴物の脱離及び全顎的な咬合機能不全を主訴に来院された。
問診をとると、左右顎関節に時々痛みを感じる。
頭痛や肩凝り等の症状も時折みられていた。
多数歯欠損であり、不良補綴物が多く目立つ。過蓋咬合を呈しており、下顎の前方運動に制限があることが推察される。

円板後部結合組織は繊維化を示し、偽円板化を示している。右側で顕著である。
両側下顎頭に骨髄信号の異常は認められない。両側関節円板は前方転位をしている。

初診時に患者が訴えていた顎関節部の痛みはこれによるものと思われる。
両側上下関節腔に貯留が認められ、特に右側で顕著である。

両側関節円板は前方転位をしている。後部結合組織は両側共にさらに偽円板化が亢進したことが分かる。両側上下関節腔に認められていた液貯留がほぼ消失した。

定期的にMRIを撮影し、顎関節の状態を把握しながら治療を進めてきたので、咬合再構成による顎関節への大きなダメージを与えることなく治療を完了することが出来たと考察した。
顎変形症

- 顔が歪んで左右のバランスが悪い
- かみ合わせが悪く噛みづらい
- 事故で顎の骨を損傷した
顎変形症とは、上下の顎の位置や形に問題があり、かみ合わせが大きくずれている状態を指します。この状態を放置すると、食べ物をうまく噛めない、発音が不明瞭になるといった機能的な問題に加えて、顎関節の痛みや不快感、お顔の歪みなど、さまざまなトラブルが生じることがあります。治療は外科矯正治療を含む骨切り手術が必要となります。
当院では、患者さまの症状改善と生活の質の向上をめざし、適切な治療法をご提案しております。
顎変形症
骨格について
骨格のバランスが良ければ機能的にも安定して、口元・顔貌が美しくなります。

左上図は受け口(下顎前突)の骨格(クラスⅢ)。
骨切り手術により下図のような上下顎がバランスのいい状態へ変化させることができます。

左上左図は受け口の逆で下顎が小さい骨格(クラスⅡ)。
SSROという骨切り手術によって上下顎のバランスを良くすることができます。


上顎骨が斜めに傾いてる症例も問題があります。
ルフォーという骨切り手術でゆがみを治すことができます。

上顎骨にルフォー、下顎にSSROを行ったイメージ図です。



骨格に問題があり、骨切り手術を行った方々の口元の変化です。
(左からクラスⅢ、クラスⅡ、上顎骨のゆがみ)

※白線4本、上からフランクフルト平面、口蓋平面、咬合平面、下顎下縁平面
鷹木歯科からご提供いただいた、理想的な骨格の方の顔貌(横顔)と骨格のレントゲン写真です。
理想的な骨格の方は、口腔内が安定しやすくなっています。
噛み合わせを安定するために、当院ではタカギインデックスを用いて咬合平面を設定しております。
アーネット分析

骨格的な問題を抽出するために、顔貌からアーネット分析を行い、上顎と下顎の骨格的な問題を予想いたします。

横顔の写真と骨格的な問題を検討し、治療終了時にどのような横顔になるかを予測することができます。
抜歯即時インプラント

- なるべく早く治療を終わらせたい
- 手術の回数を減らしたい
通常、抜歯後にインプラントを埋め込む際には、2~6ヶ月程度の期間を空けて骨や歯ぐきが回復するまで待つ必要があります。一方、抜歯即時インプラントでは、歯を抜くと同時にインプラントを埋入することができます。
この方法では、抜歯とインプラントの埋入を同日に行うため、手術回数が減り、治療期間が短縮されることでご負担を軽減できるのです。
ただし、歯周病が進行している場合など、抜歯即時インプラントが適用できないケースもあるため、歯科医師と十分にご相談ください。
抜歯即時インプラントには条件があるため、適応できる条件を満たさない場合は治療を受けられない場合があります。
※自由診療です。
※リスク:通常のインプラントと比較すると、副作用として細菌感染のリスクが高くなります。
抜歯即時埋入症例
治療期間を短縮するために抜歯即時埋入を計画。
抜歯した部位にインプラントを埋入後、骨結合を獲得するまで約2ヶ月待機しました。
プロビジョナルレストレーションを装着、最終補綴はチタンのアバットメント。
上部構造には、セタミッククラウンを装着し、治療を終了。
2004年(治療終了時)
2024年(20年経過)
サイナスリフト

- 顎の骨量が少ないといわれた
- 歯周病で失った歯をインプラントにしたい
- 歯を失ってから時間が経っている
インプラントを埋入するためには、顎の骨にある程度の量や厚みが必要です。サイナスリフトは、上顎臼歯部の骨が薄い場合に骨の再生を促して、インプラントを埋入できるようにする骨造成の一種です。頬の辺りにある「上顎洞(サイナス)」という空洞の底部を持ち上げ、できたスペースに骨補填材を充填し、骨を増やします。
これにより、骨量が少ない場合でも、多くのケースでインプラント治療が可能になります。
骨の再生と安定化には時間がかかるため、治療期間が長引くことがありますが、しっかりとした骨を確保できる点がメリットです。
※自由診療です。
※リスク:骨造成を行わない場合と比べて、腫れや痛みが発生するリスクが増します。
サイナスリスト症例
2008年、第一大臼歯の歯根破折を主訴に来院された。
サイナスリフト後にインプラント埋入。
左は術前のレントゲン写真。中央、右は2024年、術後約16年後のレントゲン写真と口腔内写真。
1枚目上、奥歯2本欠損でインプラント治療を希望された。サイナスリフト後、インプラント埋入。
2枚目、術後約10年経過。レントゲン的にも経過良好です。
上顎全顎、左下欠損部、インプラント治療希望で来院。
左上上顎洞にサイナスリフトを行いました。
下顎前歯部は矯正治療にて歯列を回復しました。
術後15年、経過良好です。
GBR(骨造成)

- 顎の骨量が少ないといわれた
- 歯周病で失った歯をインプラントにしたい
- 歯を失ってから時間が経っている
GBR(骨誘導再生法)は、損傷した顎の骨を再生するための骨造成の一つです。歯周病などで骨が失われた部位に、新しい骨を形成することができます。
まず歯ぐきを切開し、骨を再生させたい部分に骨補填材や自家骨(患者自身の骨)を注入します。その後、チタンメッシュや「メンブレン」と呼ばれる人工膜でこの領域を覆うことで、骨再生を阻害する繊維芽細胞の侵入を防ぎ、骨の再生を促します。
※自由診療です。
※リスク:骨造成を行わない場合と比べて治療期間が長く、腫れや痛みのリスクも増す可能性があります。
GBRの症例について
GBR(骨造成)症例

術前 2006年
骨幅も高さも不足する症例。
インプラント体を埋入と同時に骨造成を計画しました。

術前 18年後
2024年
インプラント埋入後、チタンフレームと人工骨を使用し骨造成。その上に人工膜を設置。
術後4ヶ月。
2次手術のときにインプラント体の骨結合と周囲の骨を確認。
骨の高さが不足している場合の骨造成は難易度が高い手法です。
上記のようにチタンメッシュを使用して骨造成(GBR)を行います。
骨の幅が少ない場合の骨造成はそれほど難易度は高くありません。
上の写真のようにチタンメッシュを使用して骨造成(GBR)を行います。
術前 2006年。
インプラント埋入予定部位のCT断面。
術後 2024年。
インプラント埋入及びチタンメッシュを使用した骨造成部位のCT断面。
インプラント治療が長期で安定するために、インプラント体の周囲の環境を整えることも大切です。
インプラント体が長期で安定するために、インプラントの周囲には十分な骨が存在する必要があります。
上段の写真は、高さが不足している場合の骨造成の写真です。
チタンメッシュ(チタン網)と人工骨を使用して埋入前に十分な骨を造成いたします。
インプラント体の周囲に十分な量の骨量と十分な量のしっかりとした歯ぐきを付与することは、インプラント治療が長期で安定するためにとても重要な要素となります。
即時荷重インプラント

- 治療をなるべく早く終わらせたい
- 歯がない期間をなるべく短縮したい
- 折れた前歯をなるべく早く回復させたい
歯がない状態をできるだけ早く解消し、治療期間を短縮したい場合、即時荷重インプラントが有効です。通常のインプラント治療では、インプラントを埋入した後に骨と結合するまで2〜3ヶ月待ってから人工歯を装着します。一方、即時荷重インプラントはインプラント埋入直後から1週間後に人工歯を装着できるため、すぐに噛む機能を回復させることが可能です。
この方法により、治療期間と歯のない状態で過ごす期間が大幅に短縮されます。ただし、口腔内の負荷が大きいため、すべてのケースで適応できるわけではありません。治療を希望する際は、歯科医師と十分に相談し、個々の状況に合った治療法を選ぶことが大切です。
即時荷重インプラントには条件があるため、適応できる条件を満たさない場合は治療を受けられない場合があります。
※自由診療です。
※リスク:通常のインプラント治療に比べて手術後の細菌感染のリスクが高まる可能性があります。
即時荷重症例

2006年、インプラント埋入後。
約1週間後、技工士さんに作成していただいた仮歯を装着。

2006年、手術後約3ヶ月。
インプラントの骨結合を確認後、インプラント上部構造を装着。

2006年、上部構造は第2世代CADCAMにより作成されたチタンフレームに人工歯を装着。

2006年(治療終了時)、女性、当時68歳。
口腔内及び口元のレントゲン。

2011年(写真左、5年経過)、2016年(写真中央、10年経過)、2024年(写真右、18年経過)。 2024年、約18年使用した上部構造が摩耗し、審美的な問題により再製を希望された。

2024年(上部構造再作成)、現在86歳でとてもお元気です。
インプラント体は20年弱経過しておりますが全く問題ありません。
インプラント
オーバーデンチャー
オーバーデンチャー

- インプラントを何本も入れたくない
- 入れ歯のまま安定性を高めたい
- 取り外せる義歯にしたい
インプラントオーバーデンチャーは、インプラントと取り外し可能な入れ歯を組み合わせた治療法で、インプラントを用いて入れ歯の安定性を向上させます。片顎に2〜4本のインプラントを埋入し、そこに取り外し可能な義歯を装着します。
インプラントが支えとなることで、歯ぐきだけで支える従来の入れ歯よりも噛む力や安定性が向上します。総入れ歯や部分入れ歯のどちらにも適応でき、場合によっては現在使用中の入れ歯を利用できることもあります。さらに、通常のインプラント治療よりもインプラントの本数が少なくすむため、手術の不安や費用を抑えたい方にも適した治療法です。
※自由診療です。
※リスク:固定型の入れ歯(ボーンアンカータイプ)と比較すると、摩耗などにより人工歯が破損するリスクがあります。
インプラントオーバーデンチャー症例
2011年

インプラントオーバーデンチャーとは、インプラントで入れ歯を支える方法です。
清掃がしやすいなどのメリットがあります。
また、多くの入れ歯の方が気持ち悪いと言われる上顎の内側の部分を大きく開けることができます。

上顎はCADCAMで作製されたバーを使用し、ロケーターとクリップを併用しています。

下顎は、ロケーターと呼ばれるアタッチメントで入れ歯が安定するようにしています。
インプラントオーバーデンチャーは、できれば3本以上のインプラントを使用すると安定しやすくなります。
2024年

治療終了後約13年経過しますが、上の入れ歯の前歯部分が破折してきて修理しています。
インプラントオーバーデンチャーは、掃除がしやすいなどのメリットはありますが、固定式のタイプと比較して摩耗しやすく、割れやすい等のトラブルは多くなることを覚えておいた方がいいでしょう。
インプラント補綴(上部構造)

- インプラントの人工歯を交換したい
- インプラントの人工歯が割れてしまった
インプラントに取り付ける人工歯(上部構造)の交換を行う際、上部構造の接合方法には「セメント」と「ねじ」の2つの選択肢があります。当院では「ねじ」を用いた方法を採用しており、万が一、歯ぐきの腫れなどのトラブルが発生した場合でも、上部構造を簡単に取り外すことが可能です。一方、セメントを使用して固定してしまうと、上部構造全体を壊す必要があります。上部構造には高価なジルコニアが使われることが多いため、再利用できるねじ方式は経済的なメリットがあります。
さらに、当院ではアバットメントの上に特殊加工を施したフレームを取り付けることで、強度を高め、上部構造の破損リスクを低減しています。
※自由診療です。
※リスク:歯ぎしりや食いしばりがある場合などは、人工歯(上部構造)が破損しやすくなります。
インプラント補綴(上部構造)
第1世代(~2005年前後まで) オールオン5
勤務医時代の症例

初診時、2000年。
入れ歯の不具合のためインプラント治療を希望され来院されました。

金合金をろう着(溶接)して作成されたメタルフレームの上にレジン(樹脂の人工歯)を装着。

写真左、お痛みのあった部位。
写真右、上部構造を外して矢印部を削って解決。
毎回のメインテナンスは必ず来院されていました。
2010年、痛みを主訴に救急で来院。
骨が隆起した事が原因でした。
その後もなんとかメインテナンスに通院されていましたが、2015年92歳で他界されました。
最期まで、お食事はしっかりと召し上がられていました。
第2世代 オールオン5(2005年前後~)
2005年(初診時)
2005年、下の入れ歯が安定しづらく噛めないという主訴で来院。
チタンの削り出しにてフレームを作製。
CADCAMでデザインされたチタン製のフレームの上にレジン(樹脂)の人工歯を装着した上部構造(第2世代)。
2005年、装着時の口元の写真(写真左)・口腔内写真(写真中央)・パノラマレントゲン写真(写真右)。
2024年、約18年経過。
レジンの人工歯はかなり摩耗しているが使用には問題がありません。
体調を崩され通院が困難という理由で、介護の方・往診の衛生士さんが清掃しやすい形態に変更しました。
歯ぐきと上部構造のすき間を大きくして、第3者の方でも清掃しやすいように工夫。
往診の衛生士さんと介護の方に清掃等をバトンタッチして、メインテナンスをしていただいております。
第2.5世代
一時的に流行した上部構造。
CADCAMのメタルフレームの上にセラミック冠をセメントで装着するタイプ。
審美的には優れていましたが、上部構造の取り外しがしにくいので、現在はほとんど使用されません。
第3世代
CADCAMで作製されたジルコニアにねじ止めのパーツをセメントで留めたもの。
現在このタイプの上部構造を作製される先生が主流です。
ただ下段の写真のようにとても硬い素材であるジルコニアも、ごく稀にですが破折することがあります。
第3.5世代
2025年現在、個人的に一番推奨しているスタイルです。
CADCAMで作製されたメタルフレームにジルコニアをセメントで装着しているタイプ。
第2,5世代と似ていますが、大きな違いはスクリュー固定でいつでも外すことができるということです。
このタイプでの破折等のトラブルは現在のところ全くありません。
噛み合わせの強い方への対応
2010年、噛み合わせの非常に強い方です。 下顎の歯列の内側に大きな骨隆起が存在します(骨のコブ)。
このような方の対応に、我々はとても注意します。
噛む面を金属にしてネジ部分は定期的に緩み等がないかをチェックいたします。
2024年、骨隆起(骨のコブ)は相変わらず大きく、歯は随分摩耗して(すり減って)います。
インプラント治療終了後から約14年経過しますが、就寝時にはナイトガードを装着していただいて、現在も問題なく使用していただいております。
先天性欠損歯

- 乳歯がずっと残っている
- 永久歯が生えてこない
- 先天性欠損歯と診断された
先天性欠損歯とは、生まれつき歯の本数が不足している状態のことを指します。そのままではかみ合わせに問題が生じるため、通常は矯正治療でスペースを作り、その後、入れ歯やブリッジ、インプラントといった義歯による治療が行われます。
しかし、入れ歯は数年ごとに作り直しが必要となり、ブリッジの場合は隣接する健康な歯を削る必要があるため、その歯の寿命が短くなるリスクがあります。
若年層の方が義歯治療を受ける際には、機能性、審美性、そして耐久性に優れたインプラント治療を選択されることが多いです。ただし、インプラント治療は骨格の成長が完全に止まった20歳以降に適用されます。
※先天性欠損歯が6本以上ある場合など、特定の条件を満たすと保険が適用されるケースもあります。詳しくは歯科医師にご相談ください。
先天性欠損症例

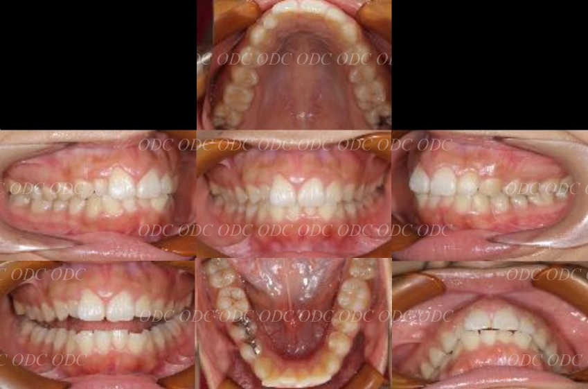
前歯がもともと4本、生えてこなかった症例。
インプラント治療を希望。

顎位(噛み合わせ)を正し、矯正治療にて歯を移動させる。

顎位(噛み合わせ)を正し、矯正治療にて歯を移動させる。
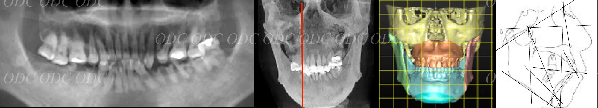
コンピューターで計画を行い、上部構造に関してもコンピューターにてデザイン。

最終物が装着されるまでに第1のプロビジョナルレストレーション(上段)と第2のプロビジョナルレストレーションを装着。

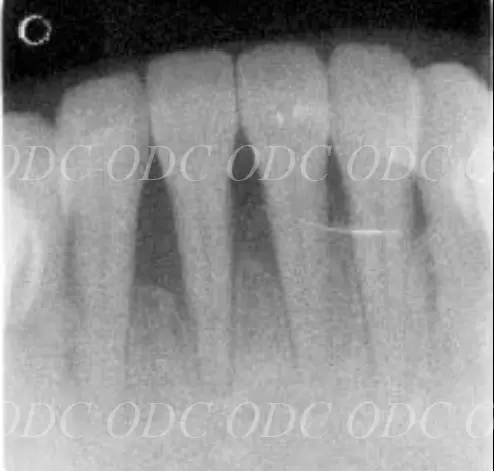
最終の補綴物が装着された、口腔内写真とレントゲン写真。
